Skip to main content
Book Appointment
(951) 524-6095
Menu
Home
About
Meet The Team
Smile Gallery
Your Comfort
Services
–
Preventive Care
Oral Appliances
Dental Fillings
Gum Recession Treatment
Sedation Dentistry
–
Dental Extraction
Clear Aligner Therapy
Same-day Crowns
Cosmetic Dentistry
Teeth Whitening
–
Root Canal Therapy
Dental Implants
Dental Bridges
Dentures
Patient Center
How did we do?
Book Appointment
Post Extraction Instructions
Oral Health
Payment Options
Cherry Financing
Special Offers
Contact Us
Home
About
Meet The Team
Smile Gallery
Your Comfort
Services
–
Preventive Care
Oral Appliances
Dental Fillings
Gum Recession Treatment
Sedation Dentistry
–
Dental Extraction
Clear Aligner Therapy
Same-day Crowns
Cosmetic Dentistry
Teeth Whitening
–
Root Canal Therapy
Dental Implants
Dental Bridges
Dentures
Patient Center
How did we do?
Book Appointment
Post Extraction Instructions
Oral Health
Payment Options
Cherry Financing
Special Offers
Contact Us
Book Appointment
(951) 524-6095
Close Search
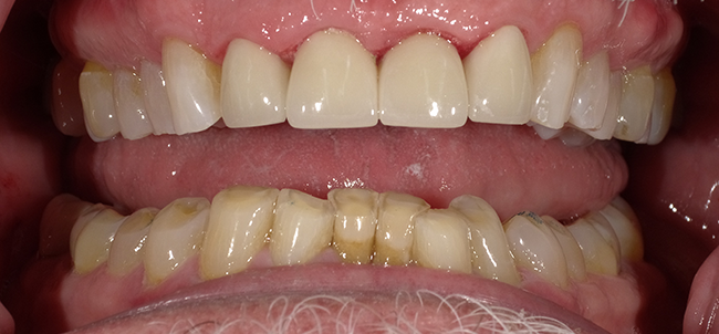
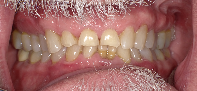
Smile Makeover #4
Smile Makeover
Case ID: 2856
Individual results may vary.
View Angle:
Front
Other Smile Makeover Patients
Book Your Visit Today!
Book Appointment